ציפויי קומפוזיט – בונדינג

לפני

קדמיות מרכזיות עם שינוי צבע לאחר חבלה בילדות, ומוטות פנימה, חסר לטרליות

אחרי

בניית השיניים בקומפוזיט, הבלטת המרכזיות, שינוי צורה של הניבים לצורת לטרלית

לפני

חסר מולד של שיניים לטרליות. המרווח אינו זהה בשני הצדדים

אחרי

השלמת השיניים החסרות עי בניית קומפוזיט על קיבוע אחורי של סיבי זכוכית

לפני

סגר קדמי פתוח שיניים צהובות

אחרי

הלבנה והארכה של השיניים ע״י ציפויי קומפוזיט לסגירה חלקית של המרווח

לפני

שיניים לטרליות קטנות Peg Shape

אחרי

הלבנת שיניים ובניית השיניים הלטרליות בקומפוזיט לגודל המתאים לשיניים סמוכות

לפני

שחיקה צווארית עם הגיל

אחרי

השלמת השיניים ע״י ציפויי קומפוזיט

לפני

שיניים שחוקות ושבורות

אחרי

השלמות קומפוזיט לציפוי 6 השיניים הקדמיות העליונות

לפני

חבלה בשיניים, שבר שן עליונה ושן תחתונה

אחרי

השלמות קומפוזיט מיידיות

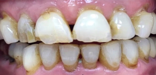
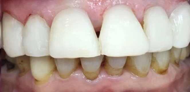
לפני

שיניים עם סתימות ישנות, שברים קטנים ושינויי צבע

אחרי

4 ציפויי קומפוזיט

לפני

שחיקה וחשיפה של צווארי השיניים

אחרי

השלמת אזורי הנסיגה ע״י קומפוזיט ורוד, להדמיית החניכיים שנסוגו

לפני

שן עליונה עם שבר להב

אחרי

להב שן משוחזרת עם חומר מרוכב במרפאה

לפני

שחיקה בשל חריקת שיניים

אחרי

השלמות עם קומפוזיט והבלטת שיניים ליצירת קשת רציפה

לפני

חסר מסוים בשיניים הלטרליות ואמייל דק ושקוף

אחרי

אחרי - שישיית ציפויי קומפוזיט

לפני

שיניים קטנות, צהובות ומרווחות

אחרי

שינוי צורה וצבע ע"י קומפוזיט

לפני

מרווח בין שיניים קדמיות

אחרי

סגירת הרווח ע"י ציפוי קומפוזיט

לפני

עששת נרחבת שלא טופלה זמן רב

אחרי

ציפויי קומפוזיט וסתימות