- 1-599-50-1599
- medart.israel@gmail.com
- א'-ה': 08:00-19:30 | ו': 08:00-13:00
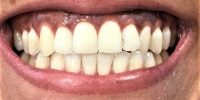
לפני: מטופלת עם צביעה של כל החניכיים ״חניכיים שחורים״ סיפרה לנו ״כל מי ששאלתי אמר לי שהצבע גנטי ולא ניתן לשינוי״. הצבע מקורו במלנין המצוי בשכבת העור החיצונית של החניכיים. הנטייה אכן גנטית, אבל – יש מה לעשות!
אחרי: 2 טיפולי לייזר – פילינג לייזר עם לייזר ErYag. הלייזר מאפשר הסרה של השכבה החיצונית הדקיקה של החניכיים, הכוללת את השכבה הבזאלית בה מצוי המלנין.

 
         
															קבוצת מרפאות מדארט נוסדה בשנת 1991, והיא כוללת כיום 3 מרפאות משוכללות ומתקדמות. צוות המרפאות שם לעצמו כמטרה להוביל את שוק טיפולי השניים בישראל וזאת באמצעות התמחות והתמקצעות, איכות השירות וחדשנות טכנולוגית לתועלתם של עשרות אלפי לקוחותינו.