- 1-599-50-1599
- medart.israel@gmail.com
- א'-ה': 08:00-19:30 | ו': 08:00-13:00
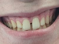
לפני: ב׳ הוא נער שהגיע עם שיניים צרות ומרווחים גדולים בין השיניים ״שנים שאני מתבייש לחייך בפה מלא״.
אחרי: 4 השלמות קומפוזיט (ציפויי קריסטל) לסגירת המרווחים העניקו מראה של קשת מושלמת ושיניים ברוחב שמותאם לפנים של הבחור הצעיר.
קבוצת מרפאות מדארט נוסדה בשנת 1991, והיא כוללת כיום 3 מרפאות משוכללות ומתקדמות. צוות המרפאות שם לעצמו כמטרה להוביל את שוק טיפולי השניים בישראל וזאת באמצעות התמחות והתמקצעות, איכות השירות וחדשנות טכנולוגית לתועלתם של עשרות אלפי לקוחותינו.